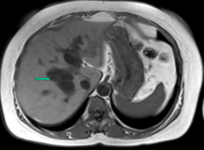
Type Ic Choledochal Cyst . Biliary cysts, also termed choledochal malformations, are cystic dilations that may occur singly or in multiples throughout. Choledochal cyst is a congenital cystic dilation of a part of bile duct that occurs most commonly in the main part of common. Type i cysts are a dilatation of the extrahepatic bile duct. Characterized by fusiform dilation of the extrahepatic bile duct. A choledochal cyst (cc) or biliary cyst is a congenital or acquired anomaly affecting the biliary tree.
from medicolearning.com
Characterized by fusiform dilation of the extrahepatic bile duct. Type i cysts are a dilatation of the extrahepatic bile duct. A choledochal cyst (cc) or biliary cyst is a congenital or acquired anomaly affecting the biliary tree. Choledochal cyst is a congenital cystic dilation of a part of bile duct that occurs most commonly in the main part of common. Biliary cysts, also termed choledochal malformations, are cystic dilations that may occur singly or in multiples throughout.
Choledochal Cyst MedicoLearning
Type Ic Choledochal Cyst Characterized by fusiform dilation of the extrahepatic bile duct. Type i cysts are a dilatation of the extrahepatic bile duct. Biliary cysts, also termed choledochal malformations, are cystic dilations that may occur singly or in multiples throughout. Characterized by fusiform dilation of the extrahepatic bile duct. Choledochal cyst is a congenital cystic dilation of a part of bile duct that occurs most commonly in the main part of common. A choledochal cyst (cc) or biliary cyst is a congenital or acquired anomaly affecting the biliary tree.
From medicolearning.com
Choledochal Cyst MedicoLearning Type Ic Choledochal Cyst Choledochal cyst is a congenital cystic dilation of a part of bile duct that occurs most commonly in the main part of common. Biliary cysts, also termed choledochal malformations, are cystic dilations that may occur singly or in multiples throughout. Type i cysts are a dilatation of the extrahepatic bile duct. A choledochal cyst (cc) or biliary cyst is a. Type Ic Choledochal Cyst.
From britishlivertrust.org.uk
Choledochal cysts British Liver Trust Type Ic Choledochal Cyst A choledochal cyst (cc) or biliary cyst is a congenital or acquired anomaly affecting the biliary tree. Choledochal cyst is a congenital cystic dilation of a part of bile duct that occurs most commonly in the main part of common. Biliary cysts, also termed choledochal malformations, are cystic dilations that may occur singly or in multiples throughout. Type i cysts. Type Ic Choledochal Cyst.
From www.cureus.com
Cureus Choledochal Cyst A Retrospective Study of 30 Cases From Nepal Type Ic Choledochal Cyst Type i cysts are a dilatation of the extrahepatic bile duct. A choledochal cyst (cc) or biliary cyst is a congenital or acquired anomaly affecting the biliary tree. Choledochal cyst is a congenital cystic dilation of a part of bile duct that occurs most commonly in the main part of common. Biliary cysts, also termed choledochal malformations, are cystic dilations. Type Ic Choledochal Cyst.
From suredevelopersteam.blogspot.com
Choledochal cyst Sure Developers Team Type Ic Choledochal Cyst Type i cysts are a dilatation of the extrahepatic bile duct. Characterized by fusiform dilation of the extrahepatic bile duct. Choledochal cyst is a congenital cystic dilation of a part of bile duct that occurs most commonly in the main part of common. A choledochal cyst (cc) or biliary cyst is a congenital or acquired anomaly affecting the biliary tree.. Type Ic Choledochal Cyst.
From radiologykey.com
Choledochal Cyst Radiology Key Type Ic Choledochal Cyst Biliary cysts, also termed choledochal malformations, are cystic dilations that may occur singly or in multiples throughout. Type i cysts are a dilatation of the extrahepatic bile duct. Choledochal cyst is a congenital cystic dilation of a part of bile duct that occurs most commonly in the main part of common. A choledochal cyst (cc) or biliary cyst is a. Type Ic Choledochal Cyst.
From mricases.blogspot.com
mricases Choledochal cyst Type IV MRI features Type Ic Choledochal Cyst Type i cysts are a dilatation of the extrahepatic bile duct. A choledochal cyst (cc) or biliary cyst is a congenital or acquired anomaly affecting the biliary tree. Biliary cysts, also termed choledochal malformations, are cystic dilations that may occur singly or in multiples throughout. Characterized by fusiform dilation of the extrahepatic bile duct. Choledochal cyst is a congenital cystic. Type Ic Choledochal Cyst.
From sonographictendencies.com
Choledochal Cyst Sonographic Tendencies Type Ic Choledochal Cyst Choledochal cyst is a congenital cystic dilation of a part of bile duct that occurs most commonly in the main part of common. Biliary cysts, also termed choledochal malformations, are cystic dilations that may occur singly or in multiples throughout. Characterized by fusiform dilation of the extrahepatic bile duct. A choledochal cyst (cc) or biliary cyst is a congenital or. Type Ic Choledochal Cyst.
From radiopaedia.org
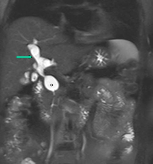
Choledochal cyst type Ic (MRCP) Image Type Ic Choledochal Cyst A choledochal cyst (cc) or biliary cyst is a congenital or acquired anomaly affecting the biliary tree. Type i cysts are a dilatation of the extrahepatic bile duct. Biliary cysts, also termed choledochal malformations, are cystic dilations that may occur singly or in multiples throughout. Characterized by fusiform dilation of the extrahepatic bile duct. Choledochal cyst is a congenital cystic. Type Ic Choledochal Cyst.
From www.fetalultrasound.com
Ultrasound / Classification of Choledochal Cyst Type Ic Choledochal Cyst Biliary cysts, also termed choledochal malformations, are cystic dilations that may occur singly or in multiples throughout. A choledochal cyst (cc) or biliary cyst is a congenital or acquired anomaly affecting the biliary tree. Choledochal cyst is a congenital cystic dilation of a part of bile duct that occurs most commonly in the main part of common. Type i cysts. Type Ic Choledochal Cyst.
From www.researchgate.net
MRCP showing a type I choledochal cyst with a dilated main pancreatic Type Ic Choledochal Cyst A choledochal cyst (cc) or biliary cyst is a congenital or acquired anomaly affecting the biliary tree. Characterized by fusiform dilation of the extrahepatic bile duct. Biliary cysts, also termed choledochal malformations, are cystic dilations that may occur singly or in multiples throughout. Type i cysts are a dilatation of the extrahepatic bile duct. Choledochal cyst is a congenital cystic. Type Ic Choledochal Cyst.
From www.mdpi.com
Diagnostics Free FullText The Curious Case of the Choledochal Cyst Type Ic Choledochal Cyst Type i cysts are a dilatation of the extrahepatic bile duct. Choledochal cyst is a congenital cystic dilation of a part of bile duct that occurs most commonly in the main part of common. Characterized by fusiform dilation of the extrahepatic bile duct. Biliary cysts, also termed choledochal malformations, are cystic dilations that may occur singly or in multiples throughout.. Type Ic Choledochal Cyst.
From www.yogavanahill.com
Type 4 (A) Choledochal Cysts Type Ic Choledochal Cyst Choledochal cyst is a congenital cystic dilation of a part of bile duct that occurs most commonly in the main part of common. A choledochal cyst (cc) or biliary cyst is a congenital or acquired anomaly affecting the biliary tree. Type i cysts are a dilatation of the extrahepatic bile duct. Characterized by fusiform dilation of the extrahepatic bile duct.. Type Ic Choledochal Cyst.
From radiopaedia.org
Choledochal cyst type Ic (MRCP) Image Type Ic Choledochal Cyst Type i cysts are a dilatation of the extrahepatic bile duct. Choledochal cyst is a congenital cystic dilation of a part of bile duct that occurs most commonly in the main part of common. A choledochal cyst (cc) or biliary cyst is a congenital or acquired anomaly affecting the biliary tree. Characterized by fusiform dilation of the extrahepatic bile duct.. Type Ic Choledochal Cyst.
From www.researchgate.net
Choledocal cyst (type Ic). 3D MRCP Maximun Intensity Projection Type Ic Choledochal Cyst Type i cysts are a dilatation of the extrahepatic bile duct. A choledochal cyst (cc) or biliary cyst is a congenital or acquired anomaly affecting the biliary tree. Characterized by fusiform dilation of the extrahepatic bile duct. Biliary cysts, also termed choledochal malformations, are cystic dilations that may occur singly or in multiples throughout. Choledochal cyst is a congenital cystic. Type Ic Choledochal Cyst.
From www.researchgate.net
MRCP showing a type Ic choledochal cyst with a dilated pancreatic duct Type Ic Choledochal Cyst Biliary cysts, also termed choledochal malformations, are cystic dilations that may occur singly or in multiples throughout. Characterized by fusiform dilation of the extrahepatic bile duct. Choledochal cyst is a congenital cystic dilation of a part of bile duct that occurs most commonly in the main part of common. Type i cysts are a dilatation of the extrahepatic bile duct.. Type Ic Choledochal Cyst.
From mricases.blogspot.com
mricases Choledochal cyst Type IV MRI features Type Ic Choledochal Cyst Type i cysts are a dilatation of the extrahepatic bile duct. Choledochal cyst is a congenital cystic dilation of a part of bile duct that occurs most commonly in the main part of common. Biliary cysts, also termed choledochal malformations, are cystic dilations that may occur singly or in multiples throughout. A choledochal cyst (cc) or biliary cyst is a. Type Ic Choledochal Cyst.
From www.youtube.com
What is a choledochal cyst? YouTube Type Ic Choledochal Cyst A choledochal cyst (cc) or biliary cyst is a congenital or acquired anomaly affecting the biliary tree. Characterized by fusiform dilation of the extrahepatic bile duct. Biliary cysts, also termed choledochal malformations, are cystic dilations that may occur singly or in multiples throughout. Type i cysts are a dilatation of the extrahepatic bile duct. Choledochal cyst is a congenital cystic. Type Ic Choledochal Cyst.
From healthjade.net
Choledochal cyst types, causes, symptoms, diagnosis & treatment Type Ic Choledochal Cyst Choledochal cyst is a congenital cystic dilation of a part of bile duct that occurs most commonly in the main part of common. Type i cysts are a dilatation of the extrahepatic bile duct. Biliary cysts, also termed choledochal malformations, are cystic dilations that may occur singly or in multiples throughout. A choledochal cyst (cc) or biliary cyst is a. Type Ic Choledochal Cyst.